Your mouth is very important. Teeth helps to you eat, talk, and smile. Your gums hold your teeth and keep them strong. When your gums are healthy, your teeth stay in place and your mouth feels good. But sometimes, gums can get sick and become damaged. The Two common problems that make it happen are gingivitis and periodontitis.
Many people do not know that gum problems can start quietly. At first, the gums may only be a little red or bleed when you brush. You might not feel pain. This is gingivitis, the first stage of gum sickness. If it is ignored, it can turn into periodontitis, a more serious problem that can hurt your gums, damage the bone that holds your teeth, and even make teeth fall out.
Taking care of your gums is just as important as brushing your teeth. Healthy gums help you chew food easily, keep your teeth strong, and make your smile look nice. Knowing the signs of gum problems, learning what causes them, and understanding how to treat them can help you keep your mouth healthy for life.
What is Gingivitis?
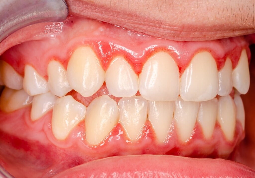
Gingivitis is the first stage of gum sickness. It happens when your gums get red, swollen, or bleed. The main cause is plaque, sticky germs that grow on your teeth every day. If plaque is not cleaned away by brushing or flossing, it irritates your gums.
Gingivitis is mild and can go away if you take care of your teeth.
Signs of Gingivitis :
- Red or puffy gums
- Gums that bleed when brushing or flossing
- Bad breath
- Sore gums
- Gums pulling slightly away from teeth

How to Treat Gingivitis :
- Brush your teeth twice a day
- Floss every day
- Use mouthwash to kill germs
- Visit the dentist for cleaning
- Eat healthy foods
- Don’t smoke
What is Periodontitis?
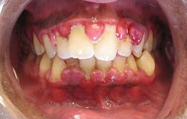
If gingivitis is not treated, it can turn into periodontitis, a more serious gum disease. Periodontitis hurts gums and the bone that holds teeth.
Gums pull away from teeth, making pockets where germs grow. Over time, these pockets damage bone and teeth. Teeth may get loose or fall out.
Signs of Periodontitis :
- Red, swollen, or painful gums
- Bleeding gums easily
- Gums pulling away from teeth
- Loose teeth
- Bad breath or bad taste
- Pus in gums
- Bite changes

How to Treat Periodontitis :
- Deep cleaning by a dentist
- Antibiotics to fight germs
- Surgery to fix gums or bone in severe cases
- Brush and floss every day
Even with treatment, periodontitis cannot be reversed, but dentists can stop it from getting worse.
How to Keep Gums Healthy :
- Brush teeth twice a day
- Floss daily
- Use mouthwash
- Eat healthy foods
- Avoid sugary foods
- Don’t smoke
- Visit the dentist regularly
Healthy habits today keep teeth and gums strong tomorrow.
Conclusion :
Gingivitis is mild and treatable. Periodontitis is serious and can damage teeth. Brush, floss, eat well, and see your dentist. Healthy gums mean strong teeth and a happy smile!
